top of page

Ortodoncia

Cuidamos tu sonrisa
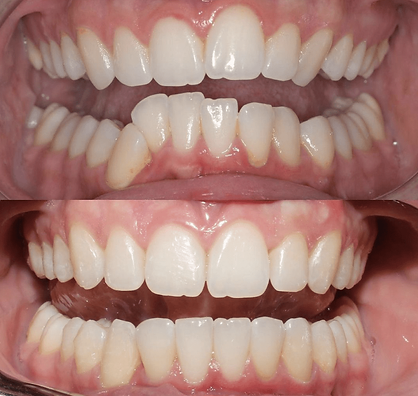
La ortodoncia es clave para corregir irregularidades en dientes y mandíbulas mediante el uso de brackets y alineadores. Mejora no solo la estética de tu sonrisa, sino también tu salud bucal a largo plazo. Consulta con un ortodoncista para descubrir las mejores opciones para ti y transforma sonrisa con confianza.
Reserva tu cita online de manera fácil, rápida y segura. Prioriza tu salud dental y déjanos cuidar de tu sonrisa.
bottom of page


